Nebojte se přihlásit! Své nastavení můžete kdykoliv později změnit.

Chcete-li vědět o nově publikovaných kazuistikách a dalších novinkách z Hematoonkologie.cz jako první, stačí z nabídky zvolit položku "Přihlásit".

Potřebujete čas na rozmyšlenou? Zvolte tlačítko „Později“ a my se vám připomeneme později.
Jsme skoro hotovi! Pokud se chcete přihlásit k odběru novinek, stačí už jen kliknout na „Povolit“.

Z oboru

Co se děje v hematoonkologii? Sledujte novinky!

» Z oboru
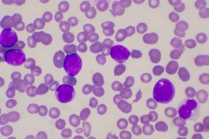
Cílení na více signálních drah: nový přístup k léčbě akutní myeloidní leukémie

Cílení na více signálních drah: nový přístup k léčbě akutní myeloidní leukémie

13. 1. 2021

Akutní myeloidní leukémie (AML) je nejčastější formou akutní leukémie u dospělých a druhou nejčastější formou akutní leukémie u dětí. Navzdory tomu bylo za posledních několik desetiletí dosaženo velmi malého zlepšení míry přežití. To je částečně způsobeno heterogenitou AML a potřebou cílenějších terapeutik než tradičních cytotoxických chemoterapií, které jsou v terapii základem posledních 50 let. Jaký je posun?

Odebírejte
novinky